
97% населения Узбекистана страдает заболеваниями десен в той или иной степени тяжести, и именно это, а не разрушение зубов, является основной причиной потери зубов у взрослых.
По этой причине, возникает необходимость регулярных посещений к стоматологу с целью профилактики.
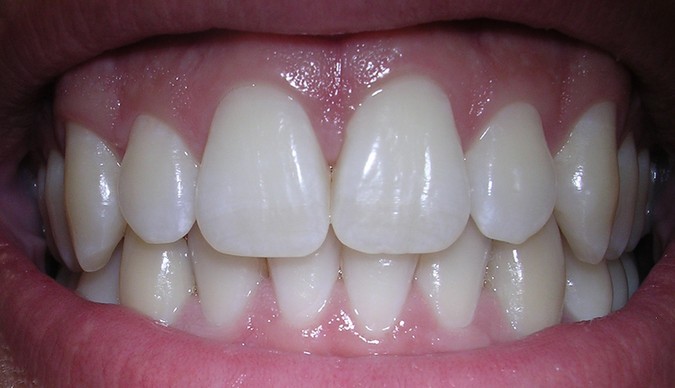
Пародонтоз повреждает окружающие мягкие ткани и кость, которые поддерживают зубы. Это главным образом вызвано скоплением бактерий, остатков пищи и других частиц в виде зубного налета или зубного камня, которые находятся между зубами и десной. Заболевания пародонта могут варьировать по степени тяжести от простого воспаления десны, известного как гингивит, до более серьезного воспаления тканей пародонта. Заболевание пародонта без лечения может привести к значительному повреждению тканей и возможной потере зубов.

Проблема с заболеванием пародонта заключается в том, что часто прогрессирование проходит безболезненно. В результате пострадавший человек может не знать о продолжающемся процессе. Вот почему так важно распознать признаки самой ранней стадии заболевания пародонта — гингивита. Симптомы гингивита обычно включают покраснение, опухлость и кровотечение десны. Лечение, назначаемое на этом этапе, часто достаточно, чтобы переломить течение заболевания и избежать какого-либо постоянного повреждения тканей пародонта. Серия глубоких чисток зубов, улучшенный режим ухода на дому и стремление к регулярному уходу — все, что нужно для предотвращения развития этой стадии заболеваний пародонта.

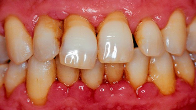
При отсутствии лечения гингивит может перерасти в пародонтит. Однако есть и другие факторы, которые могут способствовать эскалации заболеваний пародонта, включая курение, генетические тенденции и неконтролируемый диабет. В любом случае, когда заболевание пародонта перешло в более позднюю стадию, обычно имеются клинические и рентгенологические доказательства повреждения кости и мягких тканей, поддерживающих зубы. Лечение пародонта на этом этапе направлено на то, чтобы остановить прогрессирование заболевания и восстановить, насколько это возможно, поддержку зубов. Это может включать медикаменты для борьбы с бактериями и уменьшения размеров карманов между зубами и десной, операции на деснах, а также трансплантаты костей и тканей.

