
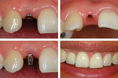
Зубные имплантаты это искусственные корни зубов, похожих по форме на винты. Когда зубные имплантаты устанавливаются в челюстную кость ( A ), они связываются с вашей естественной костью и становятся опорой для одного или нескольких искусственных зубов, называемых коронками.
Разъем — известный как абатмент ( B ) — помещается поверх зубного имплантата, чтобы удерживать искусственную коронку. Коронки изготавливаются на заказ, чтобы соответствовать вашим естественным зубам по цвету и форме и соответствовать вашему прикусу ( С ).
Зубные имплантаты настолько естественны, что вы можете забыть, что потеряли зуб.
Современные зубные имплантаты успешно используются уже более 30 лет. Это самая надежная замена естественным зубам, и, что еще лучше, они позволяют этим новым зубам выглядеть и функционировать как свои собственные. При надлежащих условиях и тщательном уходе имплантаты могут сохраниться на всю жизнь.

Преимущества Имплантации
- Длительный срок службы импланта (до 25 лет, а иногда и на протяжении всей жизни)
- Великолепный косметический эффект (коронки имеют естественный здоровый вид)
- Функциональность, максимально приближенная к функциональности натурального зуба (прочность, устойчивость к механическим воздействиям, возможность вести обычный образ жизни в отношении пищевых привычек и пр.)
- Возможность восстановления зуба без повреждения соседних зубов (к чему может привести, к примеру, установка мостовидных протезов)

Съемные протезы на имплантах
Съёмное протезирование на имплантах подходит тем пациентам, которые уже пользовались съёмным протезом, но так и не смогли к нему привыкнуть.
Съёмное протезирование на имплантах проводится на 2-4 имплантах. Самым распространённым вариантом является установка 4 имплантов с шаровидными аттачменами. Плюсы такого метода заключаются в хорошей фиксации протеза, лёгкой гигиене полости рта, простоте конструкции, а, как следствие, в ее недороговизне. Съёмный протез на 2 имплантах с аттачменами используется в тех случаях, когда недостаточно костной ткани для установки 4-х, фиксация протеза в таком случае хуже. Минусы такого метода лечения заключаются в том, что протез распределяет нагрузку не только на импланты, но и на десну. Под давлением протеза десна атрофируется, поэтому необходимо делать перебазировку протеза в среднем раз в год. Также ослабляется крепление на аттачменах, необходимо периодически заменять удерживающие матрицы. Срок службы самого протеза составляет около 5 лет.


Другой вариант съёмного протеза – это протезирование на балке на 4 имплантах. В таком случае, нагрузка распределяется, в основном, на импланты и гораздо меньше на десну. Фиксация протеза очень плотная, протез ощущается практически как свои собственные зубы. Сам протез делается из пластмассы. Он полностью восстанавливает эстетику и жевательную функцию. Пластмассовый протез не такой жесткий, как металлокерамический или циркониевый, поэтому к нему легче привыкнуть тем людям, у которых есть проблемы с височно-нижечелюстным суставом. Минус такого метода лечения заключается в том, что правильно изготовленный балочный протез по стоимости сопоставим с несъёмной конструкцией.


